Loading...

CASOS CLINICOS

RX

ARCO COSTAL BIFIDO

Antecedentes e información clínica:

Se trata de paciente masculino de 35 años de edad, con antecedente de neumopatia viral por COVID 19, sin sintomatología respiratoria en la actualidad, que acude al centro de salud por orden de su médico tratante para evaluación médica correspondiente así como exámenes de laboratorio e imágenes.

Rx

Hallazgos Radiológicos:

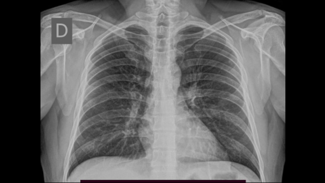
Se realiza estudio radiológico de tórax en proyección posteroanterior (PA), en el cual se evidencian a nivel del parénquima pulmonar hallazgos de naturaleza residual dado el antecedente referido, el resto del estudio se encontró dentro de los límites normales. Al evaluar los elementos óseos se observa incidentalmente duplicidad de los extremos superior e inferior del cuarto arco costal derecho, en relación a costilla bífida o “en tenedor”.

Revisión bibliográfica:

Las estructuras óseas generalmente pasan desapercibidas en la radiografía de tórax, a pesar de que su evaluación por este método de estudio es relativamente fácil de hacer realizando una evaluación cuidadosa de estos elementos.

Dentro de las alteraciones óseas de caja torácica observadas en la radiografia convencional encontramos: variantes anatómicas, anomalías del desarrollo y pseudolesiones además de procesos patológicos que contribuyen con el diagnóstico de una patología de base (procesos infiltrativos, displasias, artropatías a nivel de la columna dorsal, etc).

Las anomalías costales no son frecuentes pero se ven en aproximadamente el 1-2% de las alteraciones óseas observadas en la práctica diaria, en la mayoría de los casos se trata de hallazgos aislados que ocurren en forma esporádica y no tienen representación significativa en la clínica. La costilla bífida o “en tenedor” corresponde a una deformidad congénita focal que representa el 0.6% de estas anomalías, siendo la más frecuente.

En la mayoría de los casos se diagnostica incidentalmente en el estudio radiológico de tórax ya que los pacientes no refieren ninguna sintomatología. Se ha asociado con síndromes genéticos tales como Gorlin-Goltz, síndrome de Jobs y síndrome de Kindler, por ello los pacientes con dicha variante deben ser evaluados con un adecuado examen físico, con especial atención en la cavidad oral y la piel, buscando signos que sugieran algún síndrome genético. Si el examen físico está normal y el paciente está asintomático no serán necesarios estudios de extensión ya que correspondería a un hallazgo aislado sin representación clínica.

Bibliografía:

http://seram2010.seram.es/modules.php?name=posters&file=viewpaper&idpaper=787&idsection=2&in_window=&forpubli=&viewAuthor=

Enviar Comentario